Best UroSurgeon for Kidney Problems in India

CONSULTANT

CONSULTANT

Jewel Urology Center, Mumbai
Nanavati Hospital, Mumbai
Saifee Hospital, Mumbai

DR. VIVEK VENKAT

Compassionate Evidence-Based Ethical Cancer Care

Top UroSurgeon in India.  TURBT surgery Mumbai.
Call us at +919136041545
Best UroSurgeon in India.  TURBT surgery Mumbai.  docvivek@gmail.com
Follow us on   Best UroSurgeon in India for Prostate Cancer Screening. TURBT surgery Mumbai. Best UroSurgeon in India for Kidney Cancer.  TURBT surgery Mumbai. Best UroSurgeon in India for Prostate Cancer.  TURBT surgery Mumbai.
Radical Cystectomy Surgery in India.  TURBT surgery Mumbai.

WHAT IS A TRANSURETHRAL RESECTION OF BLADDER TUMOR (TURBT)?


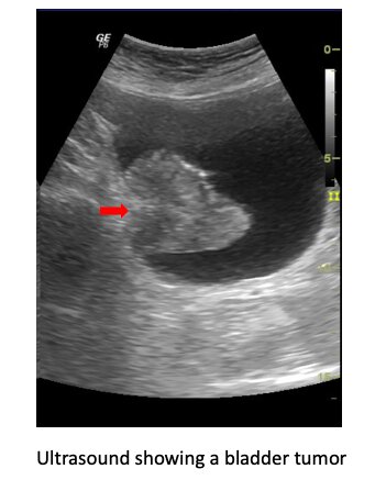
Bladder cancer is one of the most common urologic cancers. It usually presents with blood in the urine.

Imaging studies like a CT scan, or cystoscopy may reveal a bladder tumor. This needs to be removed and send for biopsy to determine its type, grade and extent.

This procedure is known as a transurethral resection of bladder tumor (TURBT) or bladder biopsy.

Robotic Surgery Kidney Disease Mumbai.  TURBT surgery Mumbai.

Robotic Radical Prostatectomy Mumbai.  TURBT surgery Mumbai.

Best Doctor For  TURBT surgery Mumbai.

 TURBT surgery Mumbai.


WHY IS A BLADDER BIOPSY OR TURBT NEEDED?


The TURBT forms the first and most important step in the treatment of bladder tumors.

The urologist aims to remove the entire tumor and send it for microscopic examination to the pathologist. This allows us to determine whether there is bladder cancer, its type, grade and stage.

Grade refers to how aggressive the cancer looks under the microscope and is classified as low and high.

Staging depends on the invasion of the layers of the bladder.

The entire further treatment depends on the results and quality of the TURBT.


HOW IS TURBT PERFORMED?


  • It is done under spinal or general anesthesia
  • Standard procedure done for over a century.
  • Camera and endoscope inserted through the urine passage and the tumor shaved using an electrical cautery loop
  • All the pieces are extracted from the bladder.
  • A separate biopsy from the bladder muscle is also taken.
  • No cuts on the outside of the body.
  • Bipolar use allows 90-120minutes surgery safely and larger tumors can be operated.

WHAT ARE THE COMPLICATIONS OF TURBT?


    TURBT is an essential procedure as the entire treatment of bladder cancer is based on it. However, as with any surgery complications can occur.

  • Bleeding Mild bleeding is common. If there is significant bleeding needing transfusion or passage of clots in the urine a second surgery to remove the clots and stop the bleeding may be needed ( less than 2%).

  • Urinary infection Most infections are mild and respond very well to antibiotics.

  • Difficulty in controlling urine (increased frequency and urgency) Immediately after catheter removal men have some burning in the urine, increased frequency and urgency to pass urine. This is quite normal and improves over the next 1-2 weeks as the cut area within heals. This is more likely with larger tumors.

  • Bladder perforation (less than 5%) Sometimes the resection may be very deep and go through the bladder. This is uncommon and the usual treatment involves keeping the catheter for a few extra days. Very rarely, an open surgery to repair the bladder may be needed.

HOW TO PREPARE FOR THE SURGERY?


  • Basic investigations to assess your fitness for surgery.
  • If a urinary infection is detected you will be placed on appropriate antibiotics.
  • Blood thinners will need to stopped for about 5-7 days before the surgery and this should be discussed with your cardiologist.

WHAT TO EXPECT DURING AND AFTER THE SURGERY?


  • Depending on the type of anesthesia you choose you may be awake (if spinal anesthesia below the waist level is used) or completely asleep (general anesthesia, which is essential for robotic surgery).
  • The surgery typically lasts for 1-2 hours.
  • Once you are awake you will notice the urinary catheter which is a tube inserted into the bladder to drain the urine because of the immediate swelling after the surgery. It is generally left in place for 2-3 days. Most men experience an odd sensation and occasional discomfort because of the catheter and feel like passing urine. This is very common and gradually reduces as the man gets used to the catheter.
  • Most patients will stay in the hospital for 2-3 days after the procedure.
  • Some blood in the urine is normal after surgery, however if the bleeding is increasing or thick like ketchup, or if you notice blood clots then please inform the doctor.
  • Once the catheter is removed most men pass urine satisfactorily and this improves consistently over the next few weeks.
  • A mild red tinge of blood to the urine is expected for 2-4 weeks. .

WHAT ARE THE PRECAUTIONS NEEDED AFTER SURGERY?


  • Plenty of fluids during the day to flush the bladder
  • Eating high-fiber food or take a stool softener to avoid constipation. Straining during a bowel movement can aggravate bleeding.
  • Start your blood thinner medications only after consulting the surgeon.
  • Avoid strenuous activity including weight-lifting and sex for about 4 to 6 weeks.
  • Walking is encouraged.
  • You will need to contact your doctor in case of fever, difficulty passing urine or bleeding as described.

HOW TO PROCEED AFTER TURBT?


    The further management of bladder cancer will depend on the biopsy report after TURBT.
  • For low-grade tumors no further treatment is necessary, however close follow up is essential.
  • For high-grade tumors which do not invade the bladder muscle, a repeat TURBT at 6 weeks is recommended to look for further disease. If this is clean then patients may need BCG or chemotherapy which is instilled into the bladder.
  • For tumors invading the muscle, the best treatment is removal of the entire bladder and diversion of the urine – radical cystectomy. This is a major procedure and requires chemotherapy before or after surgery.
Robotic Surgery Kidney Disease India

 TURBT surgery Mumbai


FAQs

Is bladder biopsy painful?

It is associated with minimal pain. Discomfort due to the catheter is the most common problem.

How long will I need a catheter?

The catheter is removed in 2-3 days in most patients. If there was a large tumor or more extensive surgery then it may be needed for up to 2 weeks.

When can I return to work?

Once the catheter is removed and your urinary frequency and control are better you can return to work. This takes 2-4 weeks after the surgery.

What further treatment is needed?

This depends entirely on the biopsy report.


CONTACT US

Location 1:
Jewel Urology Center
No. 89, N. S. Road Number 1,
Navpada, JVPD Scheme,
Andheri West
Mumbai 400049, India
(m):+919136041545
Visiting Hours : Mon-Sat 4.30 - 6 pm
By appointments only
Email: appointments@drvivekvenkat.com
Phone:+919136041545
Whatsapp: +919136041545
Location 2:
Nanavati Max Hospital
S.V road, Vile Parle west
Mumbai 400056, India
Visiting Hours : Mon-Sat 2 - 4.30 pm
Email: appointments@drvivekvenkat.com
Phone:+919136041545
Whatsapp: +919136041545
Location 3:
Saifee Hospital
15/17, Maharshi Karve Rd,
Opposite Charni Road Station East,
Mumbai 400004, India
(m):+919136041545
Visiting Hours : Thursday 11am - 1 pm
By appointments only
Email: appointments@drvivekvenkat.com
Phone:+919136041545
Whatsapp: +919136041545
Best UroSurgeon in India.  TURBT surgery Mumbai.

Terms & Conditions | Legal Disclaimer | Privacy Policy

Terms & Conditions | Legal Disclaimer | Privacy Policy

© Copyright 2021, Dr. Vivek. All Rights Reserved.

Disclaimer: The purpose of this website (www.drvivekvenkat.com) is solely for the purpose of creating awareness and imparting education regarding Uro surgery. This shall not be treated as a substitute to a professional uro surgeon's advice or prescription. Every individual and their case is different, so the results of any of the treatments mentioned on the website may vary. This website contains graphic images of before and after results of procedures, so viewer discretion is advised.

Disclaimer: The purpose of this website (www.drvivekvenkat.com) is solely for the purpose of creating awareness and imparting education regarding Uro surgery. This shall not be treated as a substitute to a professional uro surgeon's advice or prescription. Every individual and their case is different, so the results of any of the treatments mentioned on the website may vary. This website contains graphic images of before and after results of procedures, so viewer discretion is advised.